Orthopedic Tumor Surgery Global Community
Dedicated to Providing Patients Extraordinary Holistic Care Founded In Education, Research, and Innovation™
Education, Research, and Innovation
Showcasing comprehensive and new information, ongoing research, and innovation for patients, residents, students, and other orthopedic practitioners.
Our Mission
Bringing valuable, up-to-date resources and news to patients & orthopedic oncologists worldwide.
Established nearly two decades ago by renowned surgeon, healer, teacher, executive, and entrepreneur James C. Wittig, MD, and serving tens of thousands of orthopedic surgeons, oncologists, medical students, residents, researchers, and more, our new media platform was launched in August 2025. It is sponsored by Mandala Medical Group based in New Jersey.
Subscribe and enjoy the many benefits of membership including industry news and views.
Virtual Education Center
Visit our virtual educational center to find useful and inspiring information. We welcome submissions, which will be reviewed and if accepted, published in this center.
Who We Are
Educators. Researchers. Innovators.
Our Founder
Dr. James C. Wittig is an American oncological orthopedic physician, surgeon, healer, educator, mentor, innovator, purpose-driven entrepreneur, impact investor, animal rights advocate, and humanitarian.
Read the Textbook
Step-by-step descriptions of surgical techniques for the management of bone and soft-tissue tumors of the extremities shoulder and pelvic girdle sarcomas new, sophisticated, multimodality procedures for truncal and abdominal sarcomas.
Mandala Medical Group
Founded by Dr. James C. Wittig, MD, Mandala Medical Group represents a range of businesses and a non-profit foundation, all centered on improving patient health, wellness, and longevity. MMG is mission-driven organization with a respected and growing team, all of whom are like-minded, compassionate, and committed professionals.
Resources
Our Publication Hub
Take advantage of our Resources page, which lists dozens of publications, associations, government agencies, medical schools, applications for fellowships, CME courses, and more. Feel free to submit your information for consideration.
Read up on the latest scientific developments, access papers from the NIH and other organizations, organized by topic, and sign up for alerts as new research is promoted or published.
Community Blog
The Global Tumor Surgery Community Blog
Aneurysmal Bone Cyst (ABC): Understanding This Benign but Aggressive Bone Lesion
An Aneurysmal Bone Cyst (ABC) is a benign but aggressive bone lesion that can cause swelling, pain, and fractures. Learn about its symptoms, diagnosis, and treatment options from the Tumor Surgery Network.
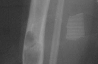
Adamantinoma: A Rare Bone Tumor of the Tibia Explained
Adamantinoma is a rare, slow-growing bone tumor that most often affects the tibia. This article explains its symptoms, diagnosis, treatment options, and long-term prognosis.
A New Era in Orthopedic Oncology Education: How Dr. James C. Wittig and Mandala Media Are Transforming Patient Learning
Tumor Surgery is proud to share the launch of Orthopedic Oncology, a new media platform developed by Mandala Medical Group and Dr. James C. Wittig. The platform provides trusted education, inspiring patient stories, and expert insights designed to empower individuals facing bone and soft tissue tumors.
Join the Community
Getting Involved
Join the Community
Join a diverse community of doctors, students, and professionals in fields of research relating to oncology.
Become a Contributor
Contribute your own articles and research to an ever growing databse of knowledge.
Meet Other Contributors
Connect with professional peers also involved in the field of tumor research.




