General Information
Dedifferentiated chondrosarcoma consists of a low grade malignant hyaline cartilage tumor associated with a high-grade nonchondroid spindle sarcoma. The two components are juxtaposed with abrupt clear demarcation line
- The high grade sarcoma is most commonly an MFH, osteosarcoma or fibrosarcoma although others may occur
- It is an extremely aggressive tumor with a high metastatic rate and dismal prognosis
- Constitutes approximately 10% of chondrosarcomas
- 50% arise from a secondary chondrosarcoma
Clinical Presentation
Signs/Symptoms:
- Pain, with or without pathological fracture
- Swelling
- Parasthesias
- Symptoms usually last around 6-10 months
Prevalence:
- 11% of all chondrosarcomas
- No predilection for sex or race
Age:
- Young adulthood to old age
- Most patients are older than 50
Sites:
- Most common in pelvis, proximal femur, proximal humerus, distal femur, ribs
- Similar sites as conventional chondrosarcoma
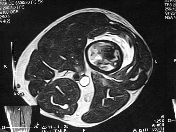
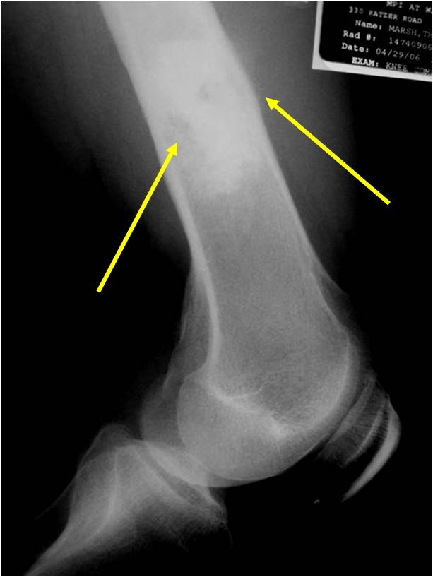
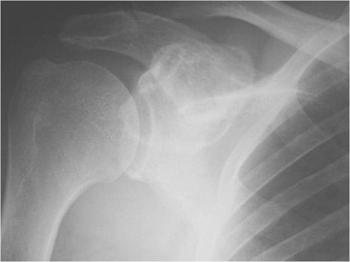
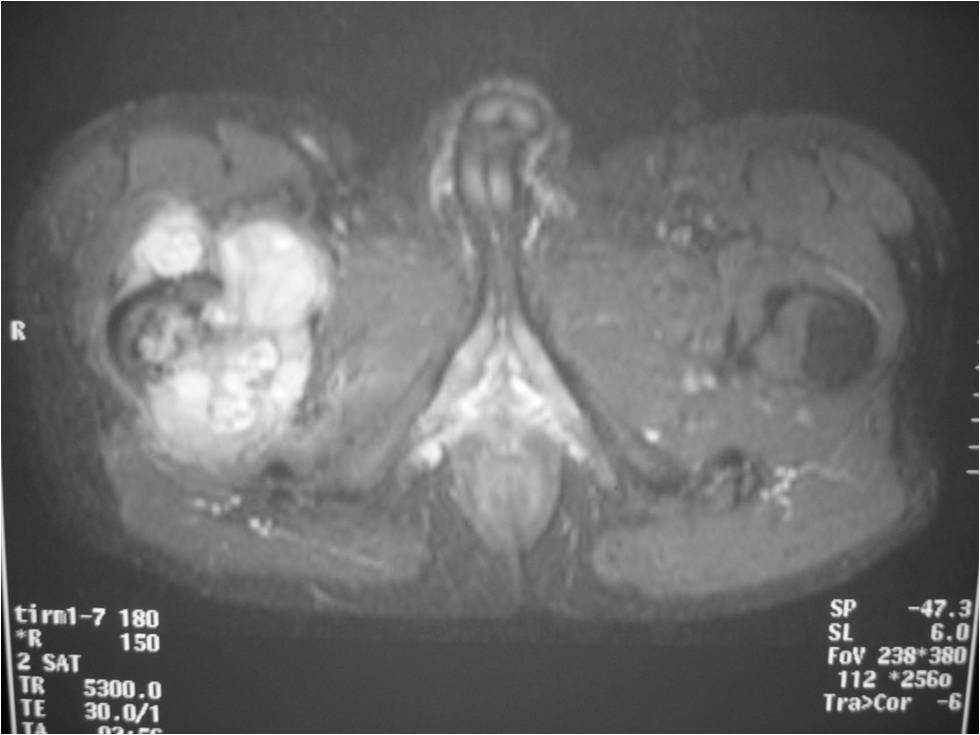
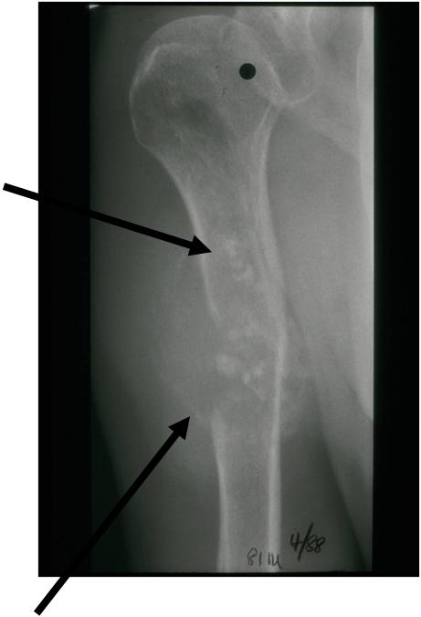
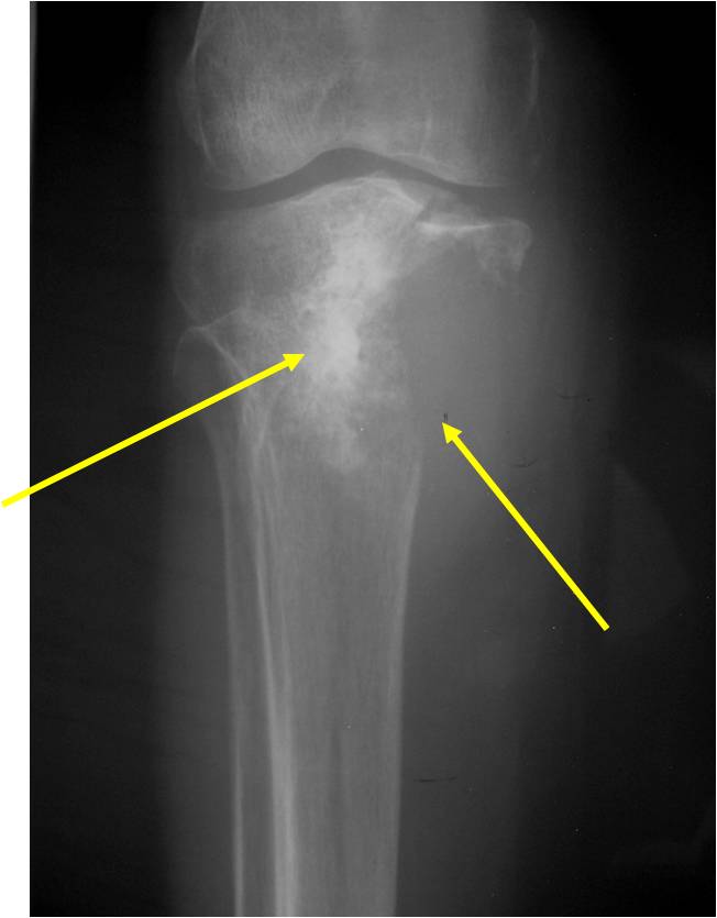
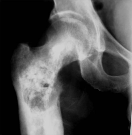
Radiographic Presentation
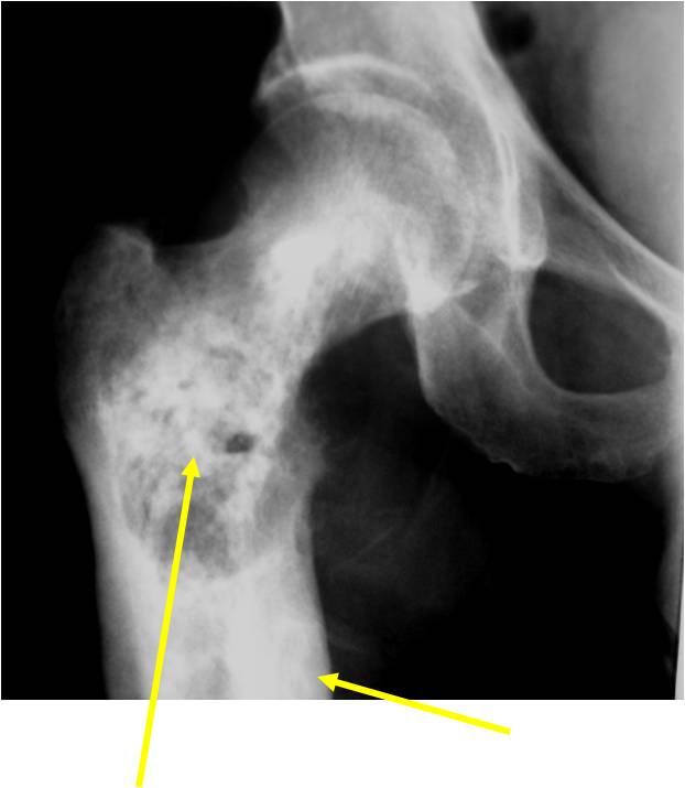
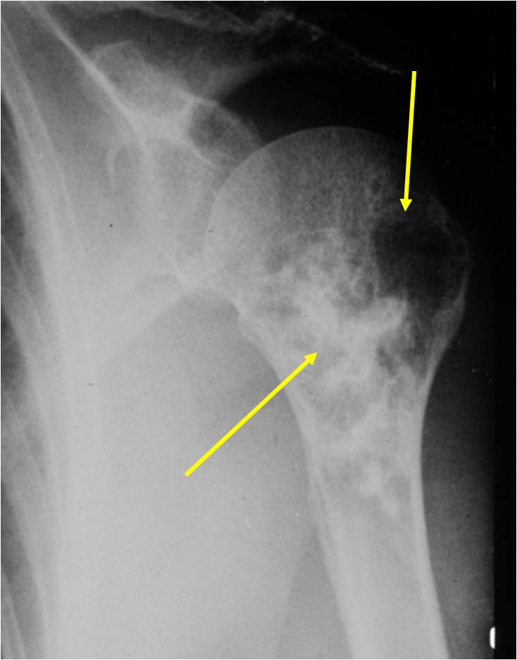
Radiology emulates pathology: Biphasic Tumor
- One region low grade chondrosarcoma
- Second more aggressive area with bone destruction, lysis of calcification, soft tissue mass
- Cortical permeation and a soft tissue mass in 70% of cases
Ill-defined, lytic intraosseous lesion
- Or extraosseous soft tissue mass
- Devoid of calcifications in continuity with lesions having the features of a cartilaginous tumor
Characteristically abrupt transition between chondroid tumor and dedifferentiated, lytic component
Bone may be expanded and adjacent cortex thickened



















(Right Arrow)Aggressive Lytic Area (Dedifferentiated Sarcomatous Component) Cortical Destruction Soft Tissue Mass without Calcification
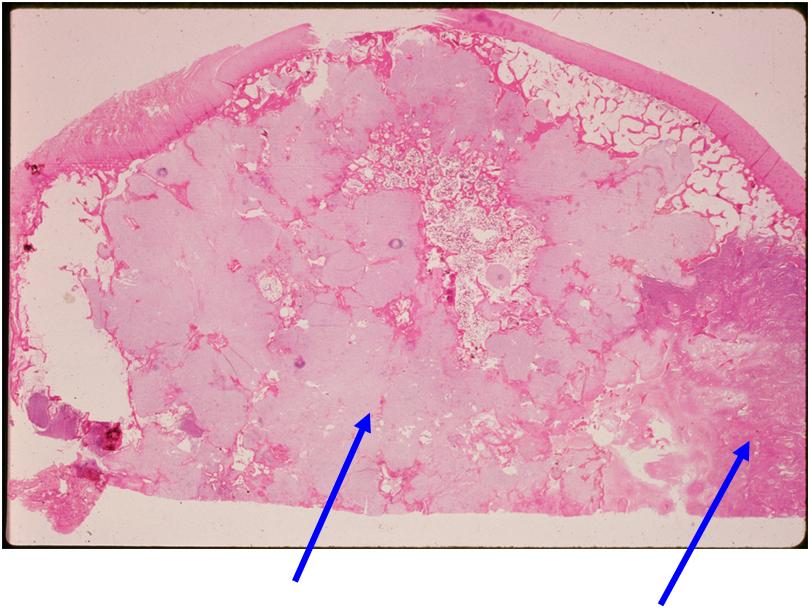
Gross Pathology
- Areas with typical lobular, blue-gray myxoid hyaline cartilage tissue
- Or overtly cartilaginous appearance of mature hyaline cartilage
- Zones of brown, tan, or hemorrhagic tissue
- Lacking the consistency of cartilage
- Dedifferentiated component may only be a minor portion of the overall tumor
- May also be so extensive that little cartilage is recognizable




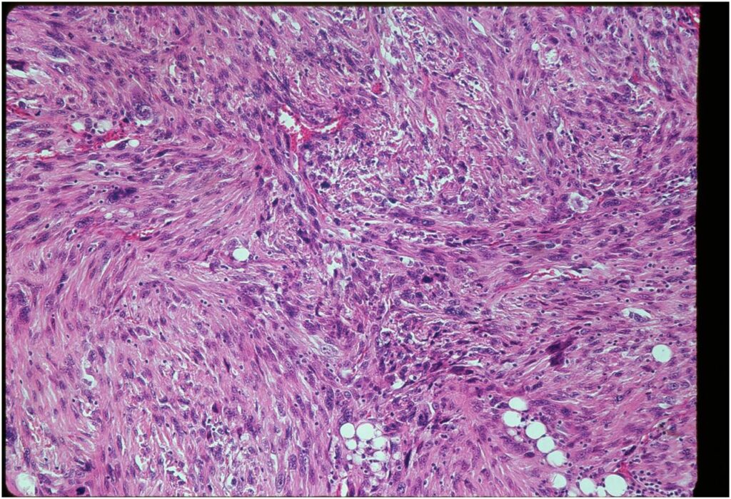
Microscopic Pathology
- Chondrosarcoma component is often grade I (Low Grade Hyaline Type Cartilage)
- Dedifferentiated component
- Predominant noncartilaginous/spindle sarcoma component varies
- Fibrosarcoma and MFH most frequently reported
- MFH is a high grade pleomorphic spindle cell tumor with a storiform pattern
- Fibrosarcoma and MFH most frequently reported
- Osteosarcoma is third most common dedifferentiated component
- Rhabdomyosarcoma and angiosarcoma also reported
- Predominant noncartilaginous/spindle sarcoma component varies
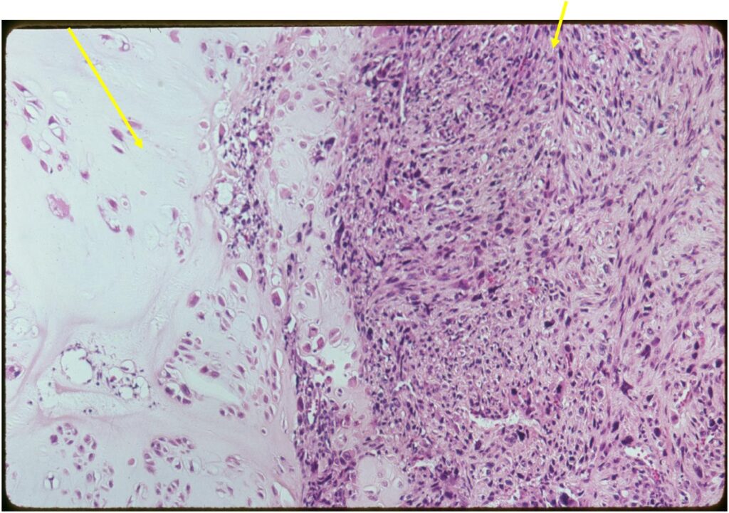
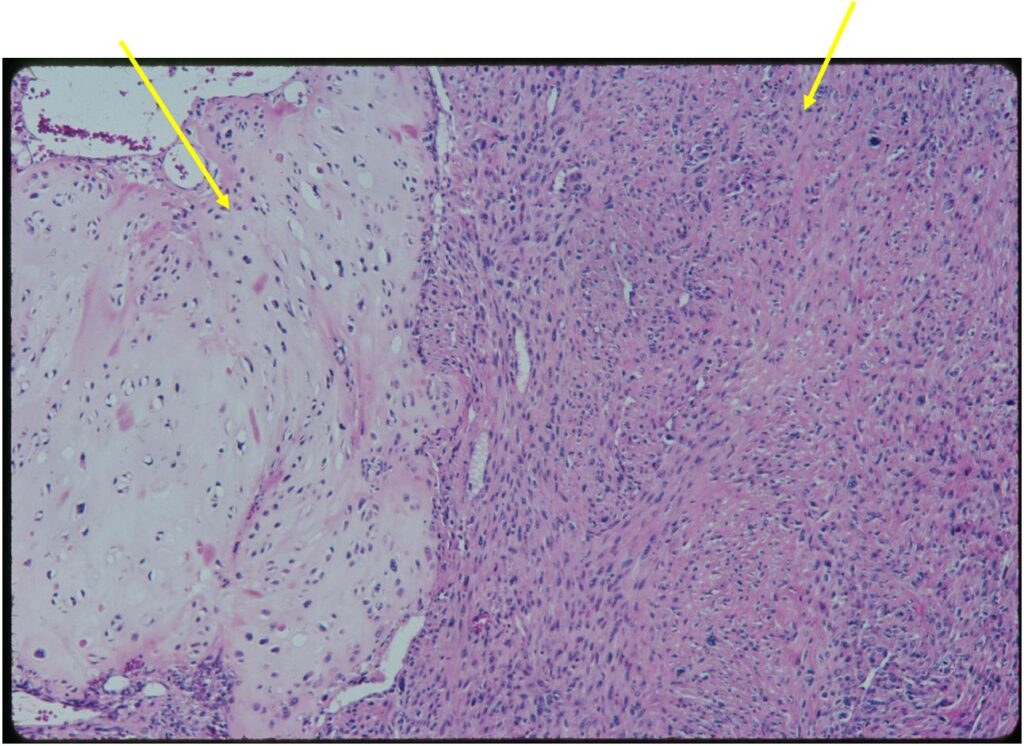
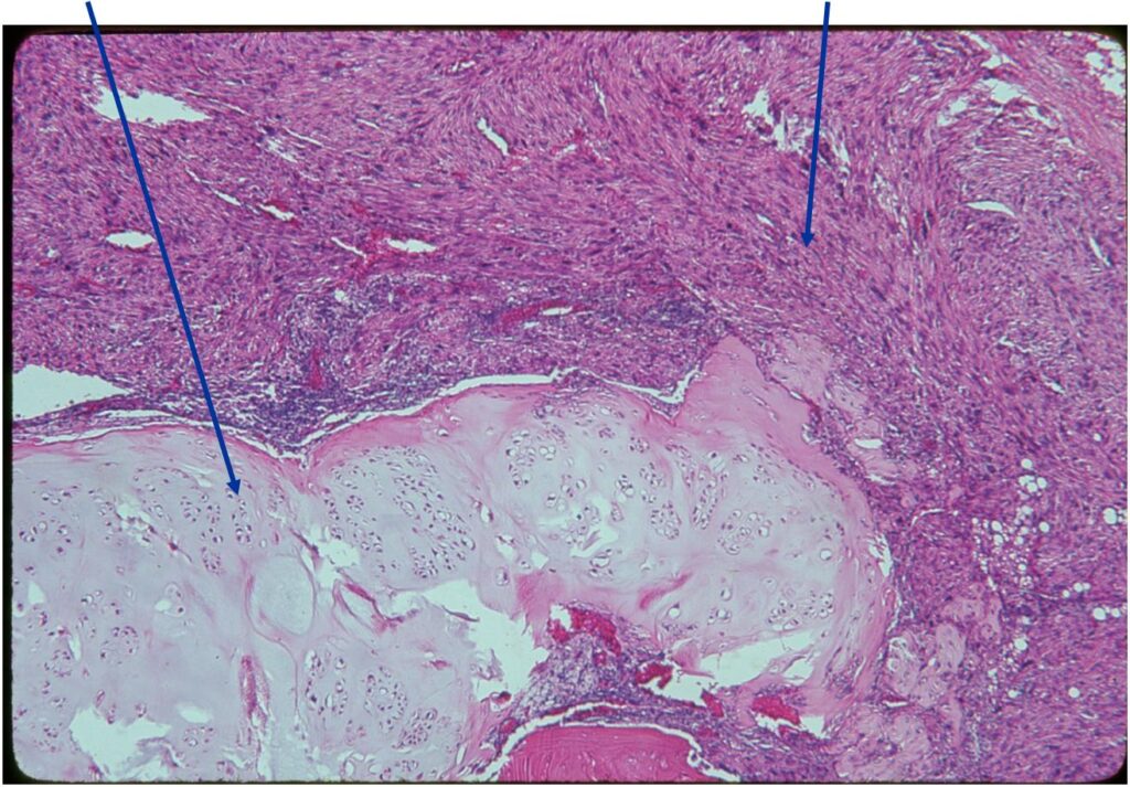
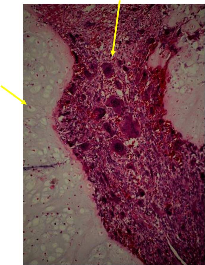
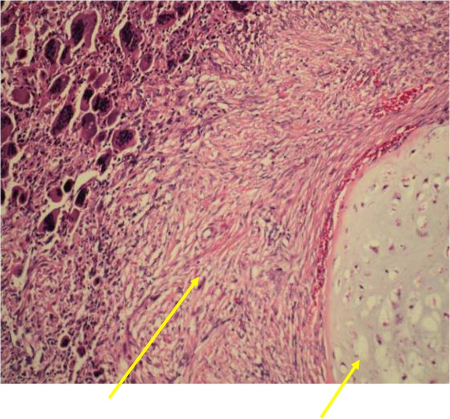
Junction of cartilaginous and noncartilaginous components is sharp and distinct. There are no dedifferentiated areas admixed in the middle of the cartilaginous areas


(Right Arrow) Dedifferentiated Component

(Right Arrow) Dedifferentiated Component

(Right Arrow) Spindle Cell Component

(Top Arrow) High Grade Dedifferentiated Spindle Cell Sarcoma Component
(Left Arrow) Low Grade Cartilage Component


(Right Arrow) Low Grade Cartilage Component

Differential Diagnosis
- High Grade Chondrosarcoma with Spindle Cell Areas
- Mesenchymal Chondrosarcoma
- Chondroblastic Osteosarcoma
- Malignant Fibrous Histiocytoma
- Fibrosarcoma
Biological Behavior
- Very aggressive locally
- Frequently cortical perforation
- Mass is usually large if extraosseous extension occurs
- Extremely high metastatic rate
- Metastasizes primarily to lungs
- Also bones and other organs
Treatment & Prognosis
- Wide/Radical limb sparing resection whenever feasible
- Amputation may be necessary for large tumors
- Chemotherapy may be considered for high grade dedifferentiated component but is controversial and no clear cut benefit has ever been demonstrated
- Radiation may be considered if the tumor is unresectable or if a wide margin can not be achieved with surgery such as with large pelvic tumors. Radiation would be used as an adjuvant to eradicate any residual microscopic disease.
- Prognosis almost hopeless, regardless of extent of resection
- 90% of patients are dead of metastatic disease within 2 years
- Most of these die within 1 year
- Metastases consist solely of high-grade dedifferentiated component
- Predominantly in lungs
- Also bones and other organs
- 90% of patients are dead of metastatic disease within 2 years




