GENERAL INFORMATION
Giant cell tumor (GCT) of bone is a benign but aggressive bone tumor originating from mesenchymal cells. Initially, described by Cooper and Travers in 1818 as an aggressive and destructive lesion of long bones, then Virchow first described the recurrence and possible degeneration into a malignant GCT. GCT is a giant cell-rich lesion of bone with characteristic multinuclear giant cells, with a background of active mononuclear stromal cells. The giant cells are evenly and widely dispersed throughout the lesion. Most of GCTs are located in the secondary ossification center (epiphysis) and metaphysis with extension to, and sometimes through the subchondral area of the long bones (distal femur, proximal tibia, and distal radius). The axial skeleton is the second most commonly affected area, especially the sacrum. GCT has slightly higher incidence in woman than men. The most common group affected is aged 20 to 40, with rare incidence in adolescents and children. Giant cell tumors are considered benign however they do rarely metastasize to the lungs and can be multicentric (involve multiple different bones). They have a high potential for local recurrence when treated solely with a curettage. These tumors are aggressive and grow to destroy the bone if left untreated.
CLINICAL DATA
· 6th most common benign bone tumor
- Metaphysis/epiphyseal location preference of long bone
- Arises eccentrically in the metaphysis
- 75% of GCT are localized near of articular end, and 60% occur in the region of the knee
- The lesion may penetrate subchondral bone and articular cartilage.
- May be associated with a aneurysmal bone cyst
DIFFERENTIAL DIAGNOSIS
- Giant Cell Reparative Granuloma/ “ Brown Tumor”
- Aneurysmal bone cyst
- Nonossyfying Fibroma
- Benign Fibrous Histocytoma
- Enchondroma
- Chondroblastoma
- Osteosarcoma with Prominent Giant cell component
CLINICAL PRESENTATION
Sign/Symptoms
- Pain
- 85% of patients present with a tender palpable mass in the region of the affected bone
- Sometimes regional muscle atrophy due disuse
- Weakness of the extremity containing the bone affected
- Patients may present with a pathological fracture
Prevalence
- Slightly preference for women more than men (1.2:1)
- Peak incidence at third decade of life
- 85% of patient are older than 19 years of age (aged 20 to 40 years)
- Less 10 % of patients >65 years.
Site
- Originate in metaphysis and usually grow to the subchondral bone 98-99%
- Distal femur and proximal tibia accounts for 60% of the cases
- Distal radius and sacrum are third and fourth most common locations respectively
- Preference for metaphysic-epiphyseal location and extending to the articular cartilage.
- Skull and Face; May arise in conjunction with Paget’s Disease or Goltz Syndrome
RADIOGRAPHIC PRESENTATION
- Purely lytic lesion, typically well defined with moderately coarse trabeculations.
- Can mimic a malignant tumor appearance.
- Unusual periosteal reactions–rare (10-30%)
- Pulmonary metastases have been reported in up to 5% of patients.
Plain x-ray
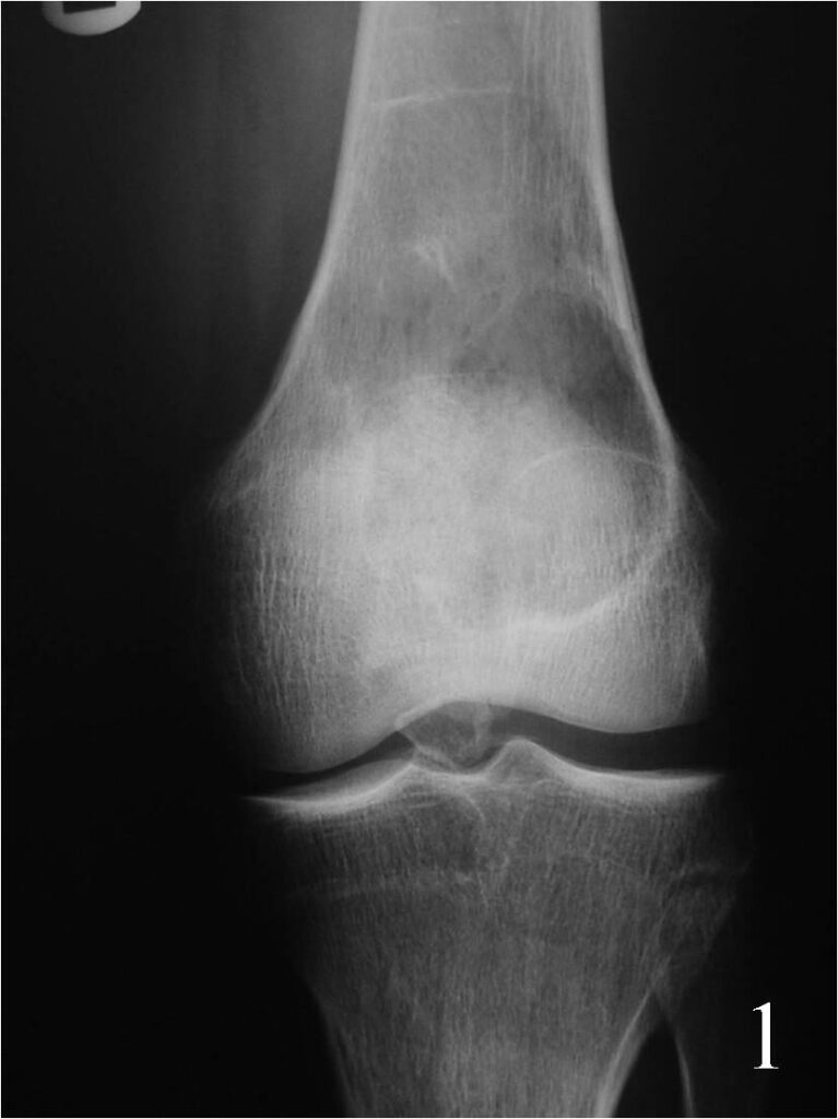
- Geographic well circumscribed lesion usually with thin rim of reactive sclerosis and no matrix mineralization/calcification arising eccentrically in metaphysis (Fig. 1)
- Often has destroyed the cortex although most often it is contained by the periosteum——–>periosteal “egg shell” around soft tissue component
- Can cross the epiphyseal plate
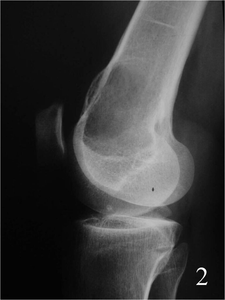
- Can arise in the medullary portion, but can be eccentric (Fig. 2)
- 0.5% lesion are multicentric
- Often have internal trabeculations (thickened reactive trabeculae)


Fig. 1 AP Xray of the knee showing an eccentric well circumscribed geographic and expansile lesion on the distal meta-ephyphiseal area of the femur
Fig. 2 Lateral Xray of the knee showing a lytic lesion, notice the expansible lesion on the anterior cortex
· CT
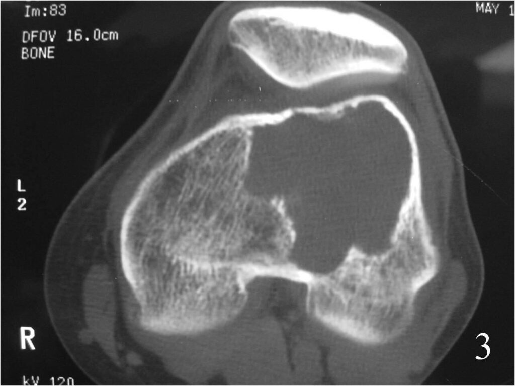
CT useful for demonstrating absence of mineralization and for showing internal trabeculations as well as a subtle periosteal reaction that may exist around any soft tissue component (Fig. 3)
- Fluid-fluid levels with cystic degeneration and hemorrhage as a common finding ( seen with secondary ABC component of GCT)

Fig. 3 Axial CT reconstruction of distal femur demonstrating an eccentric geographic lesion well circumscribed.
MRI
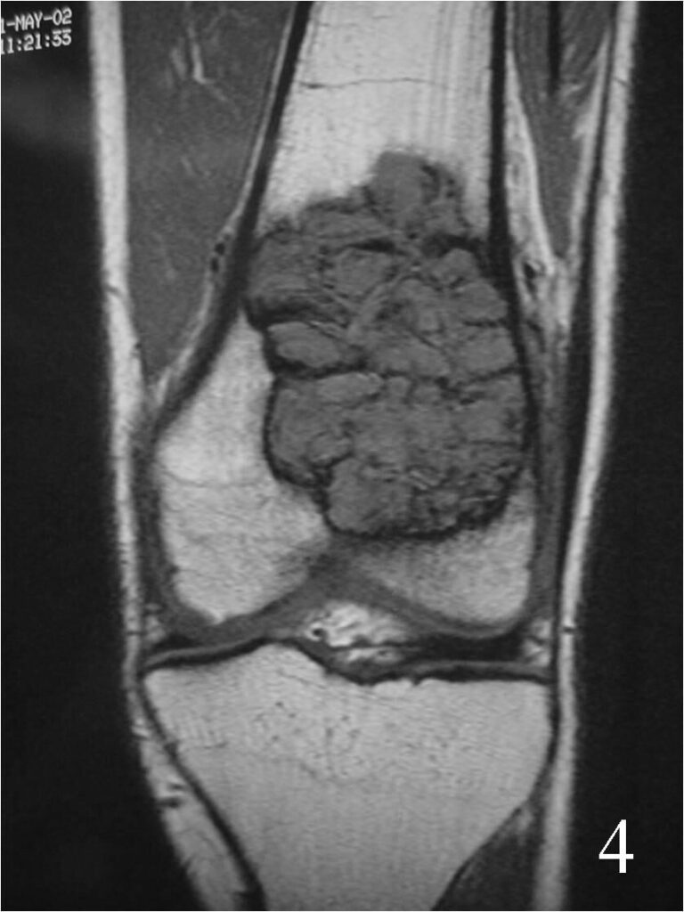
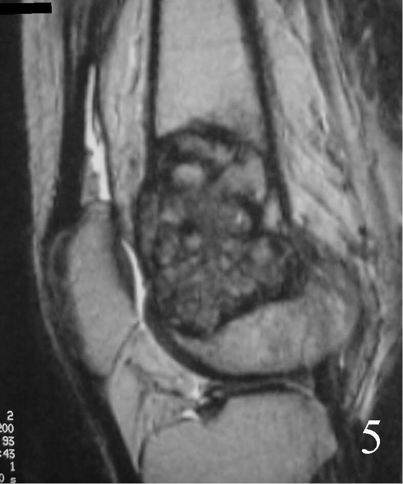
- They will be low to intermediate on T1-weighted images, and intermediate to high on T2-weighted images (Fig. 4, 5, 6)
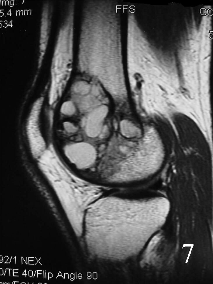
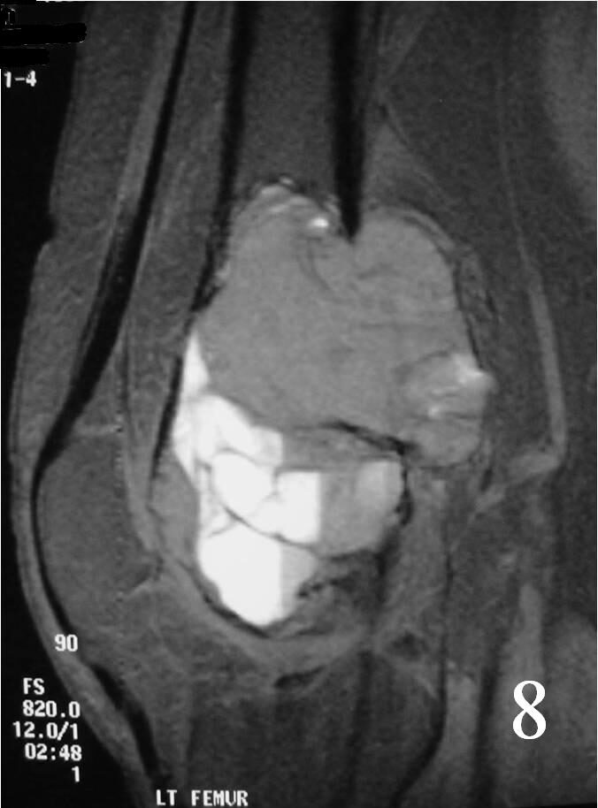
- Possible fluid-fluid level ( associated with secondary ABC) (Fig. 7, 8)
- Their periphery may enhance with gadolinium


Fig. 4 Coronal T1 MRI of the knee demonstrates a low signal lesion in the distal femur.
Fig. 5 Sagittal T1 MRI shows the soft tissue extension anteriorly.


Fig. 6 Sagittal T2 FS MRI shows high and low signal areas (heterogeneous)
Fig. 7 Sagittal proton density MRI demonstrates cystic degeneration typical of a GCT

Fig. 8 Sagittal T2 MRI with fluid – fluid levels detected, indicative of ABC changes or secondary ABC component. There is posterior soft tissue extension. The soft tissue component is surrounded by periosteum.
Whole Body Bone Scan
Shows “hot” often with a central “cold” spot in the center of lesion, called “Doughnut Sign” ( Fig. 9)

Fig. 9 Whole body bone scan shows a hot/cold lesion on left knee.
HISTOLOGY
Gross
- Curetted fragments are soft and friable (Fig. 10)
- Color of the lesion varies from gray-brown to reddish with some yellow areas containing numerous lipid-aiden macrophages
- Necrosis associated with cystic formation
- May be extending to the surrounding soft tissues.

Fig. 10 Curetted fragments from GCT lesion are soft and friable, color varies from gray-brown to reddish with some yellow.
Microscopic
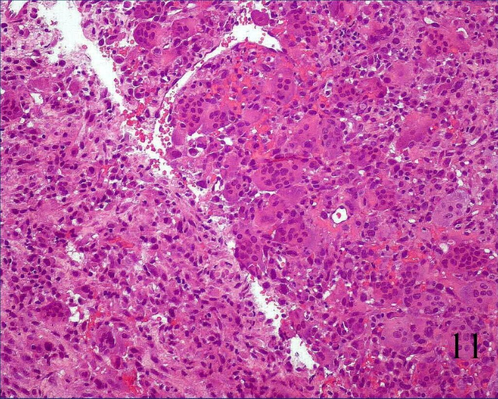
- Giant cells evenly and widely dispersed throughout the tumor admixed with mononuclear cells. There is no matrix.
- The nuclei of the giant cells and nuclei of the mononuclear background cells are similar (Fig. 11)

Fig. 11 Microscopic: Low power magnification of lesion composed multiple of multiple multinucleated giant cells in mononuclear background cells.
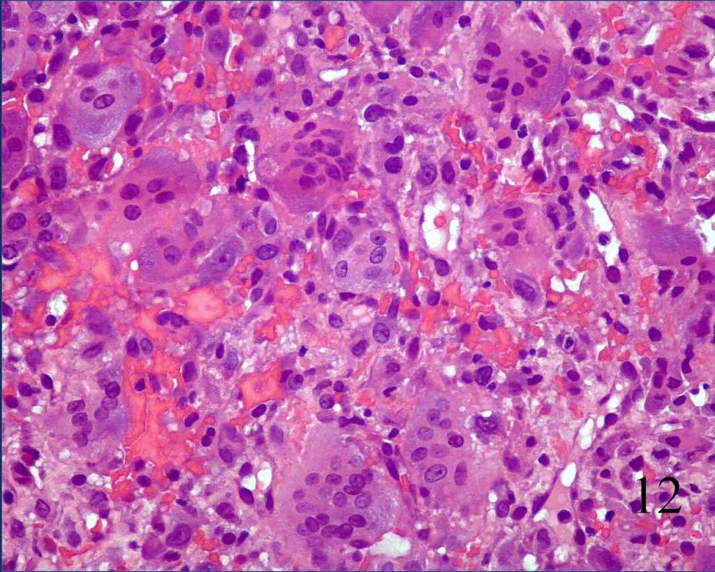
· On high power magnification, the nuclei of the giant cells and nuclei of the mononuclear background cells are similar. (Fig. 12)
- Mitotic figures but normal appearance and no atypical mitoses.

Fig. 12 Microscopic: High power magnification shows many multinucleated giant cells surrounded by a sea of mononuclear cells. The nuclei in the mononuclear cells appear very similar to the nuclei in the giant cells. There are mitotic figures but no abnormal mitoses.
BIOLOGICAL BEHAVIOR
· Benign aggressive tumor that destroys bone (can cross to adjacent bones through ligaments–>cruciate ligament)
· Can invade soft tissue
· GCT tumors with malignant stroma are prone to behave in malignant fashion
- Pathologic fractures in 50-65% of cases
- Rarely metastasize or involve multiple bones
PROGNOSIS
- Up to 60%-80% tumor recurrence with curettage alone within 2 years to 5 years
- Recurrence beyond 5 years is suggestive of malignant transformation
- Recurrence reduced up to less than 10 percent with adjuvant therapy (cryosurgery) combined with surgery
- GCT can metastasize in approximately 2% of cases; Patients with lesions localized in the wrist and distal radius are more likely to develop tumors in multiple bones.
- Metastatic GCT is considered benign and has a variable behavior.
TREATMENT
· Surgical excision is the preferred option.
o Dr. Wittig’s preference is to perform an extensive curettage resection where the tumor is curetted and the tumor cavity shaved with a high speed burr wherever possible. The cavity is then subjected to cryosurgery that involves the direct application of liquid nitrogen to eradicate microscopic tumor cells. The cavity is usually fixed with a combination of cement and an internal fixation device. Bone graft may be utilized to bone graft the subchondral plate if necessary. Results with cryosurgery have had the lowest recurrent rates reported thus far.
o Curettage and bone grafting. (alterative for pediatric cases)
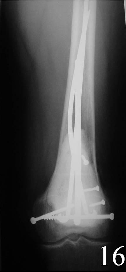
o Curettage, cement and possible internal fixation with hardware (Fig. 13, 14, 16)
o Bone resection and reconstruction with endoprosthetic implant
· Surgical treatment has to be individulized
- Adjuvant treatment: Cryosurgery, phenol, hydrogen peroxide reduces the local recurrence rate (Fig. 15)
- Irradiation can be used if surgery is contraindicated however there is a significant risk of malignant transformation
- Embolization can make surgery safer for large lesions arising in the sacrum.
- Innovative treatments: Anti RANK-L antibody has shown promising results.


Fig. 13 Intralesional curettage of the giant cell lesion and (Fig. 14) shaving the wall of the tumor cavity with high speed burr.

Fig. 15 Cryosurgery of the tumor cavity where liquid nitrogen is poured into the cavity to kill microscopic cells.

Fig. 16 AP Xray of distal femur demonstrates fixation with Rush rods and cement.