Synovial chondromatosis is an uncommon, benign, process that occurs in large joints, such as the knee (50%), hip, elbow, or shoulder. This process mainly affects synovium and hence most commonly arises from joints and tendons which are lined by synovium. Synovial Chondromatosis may also affect bursae and extend into surrounding soft tissues. This condition is seen in patients between 20 and 50 years of age and most commonly in men (male-female ratio of 2-4/1). The patient usually complains of pain, stiffness, crepitance, swelling, and joint locking. The knee is the most common site to be affected. Symptoms are long-standing and progressive. The plain x-ray may be normal (5 to 33%) or there may be small flecks of calcification (Fig. 1 & 2). On MRI the nodules of cartilage are easily seen. MR imaging may also show synovial thickening, joint erosions and intraarticular calcifications. The signal characteristics of these intraarticular bodies depend of their composition. If mineralization is not present the signal intensity follows the cartilage signal with intermediate signal on T1 images and high signal on T2 weighted MR images. Uniformly calcified bodies follows bone density on all sequences with bone marrow signal centrally and low signal peripherally (Fig. 3-5). Histologically the cartilage is arranged in nodules, which are quite cellular (Fig. 7-9). Synovial lining is present surrounding the cartilage nodules (Fig. 8). The cartilage nodules are often referred to as loose bodies however they are not really loose and embedded in the synovium lining. This is considered a metaplastic condition as opposed to a true neoplastic condition. Rarely it may turn into a malignancy usually a low grade chondrosarcoma. Malignant change is suggested by deep erosions into adjacent bone.
The treatment for synovial chondromatosis is the excision of the involved synovium and removal of the cartilage nodules (Fig. 6, Fig. 10-11). Recurrence is infrequent although it may recur in cases where removal is incomplete or synovium is affected diffusely. Malignant transformation is seen in less than 5% of the cases and is usually a low grade malignancy (synovial chondrosarcoma). Some papers suggest that degenerative arthritic changes still progress in the involved joint after surgical removal. In other words surgical removal may not prevent development of arthritis in the affected joint.


Fig. 1 & 2. Plain X rays of right shoulder synovial chondromatosis. AP (Fig. 1) and outlet (Fig. 2) views demonstrate multiple calcified bodies. Joint erosions are not seen on these x rays.



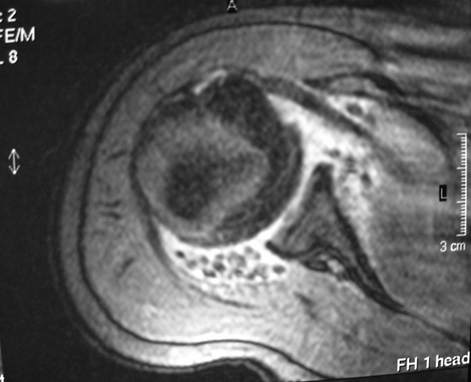
Fig. 4 & 5. MR images of the right shoulder. Axial (Fig. 4) and coronal (Fig. 5) T2-weighted images demonstrate high signal in the right shoulder corresponding with proliferation and swelling of the synovium. Multiple bodies with low signal that follow bone density in all sequences.




Fig. 7 – 9. Microscopic Pathology. Low (Fig. 7) and intermediate (Fig. 8 & 9) magnification demonstrates nodules of cartilage with high cellularity. Synovial lining is present surrounding the cartilage nodules.


Fig 10 & 11. Intra-operative photographs demonstrate nodules of cartilage in the right shoulder joint (Fig. 10) and resection of the synovium (Fig. 11).
