GENERAL INFORMATION
Extraskeletal Osteosarcoma is a malignant soft tissue tumor that accounts for less than 4% of all types of Osteosarcomas. The constituent cells form osteoid or immature woven bone.
CLINICAL DATA
Extraskeletal osteosarcomas most frequently occur in patients older than 40 years old. The thigh (48%), retroperitoneum, upper extremities (8-23%) and pelvis are the most common locations. Patients commonly present with an enlarging soft-tissue mass either with or without pain. Radiotherapy is considered as a risk factor seen in 4-13% of all extraskeletal osteosarcoma cases.
RADIOGRAPHIC PRESENTATION
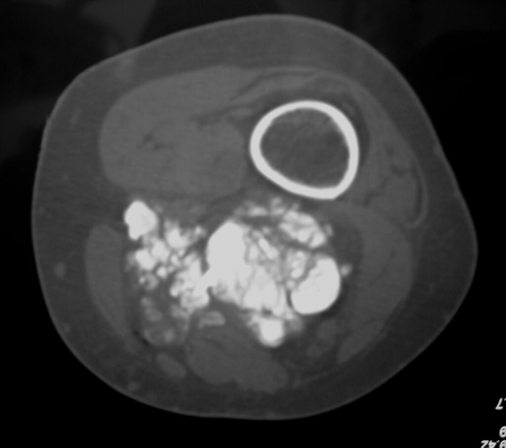
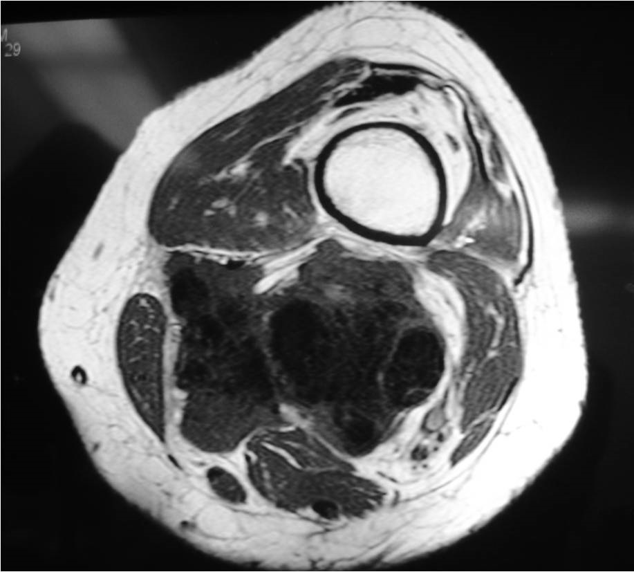
On radiographs, extraskeletal osteosarcomas show a mass with soft tissue density and variable amounts of mineralization best visualize on an Xray or CT scan, which may appear as a dense, cloudlike area (Fig. 1-3). A well circumscribe heterogeneous mass, Isointense to muscle on T1-weighted images and isointense to mildly hyperintense on T2-weighted images (Fig. 4-7). Mineralized areas will be dark on T1 and T2 weighted images.


Fig. 1 & 2: Plain x-rays of the distal femur showing an extraskeletal osteosarcoma. AP (Fig. 1) and Lateral (Fig. 2) views show a soft tissue density with intense mineralization in the posterior thigh. Mass is not originating from the bone.



Fig. 4 & 5: MRI of an Extraskeletal Osteosarcoma Axial (Fig. 4) and sagital (Fig. 5) T1-weighted MR image of an extraskeletal osteosarcoma demonstrates an isointense signal with muscle in the posterior compartment of the thigh. Neurovascular structures seem to be invaded by tumor.


Fig. 6 & 7: MRI of an Extraskeletal Osteosarcoma Axial T2 –weighted fat-suppressed image shows a heterogeneous and hyperintense signal in the posterior compartment of the thigh, central hypointense areas concordant with necrosis and mineralization. Axial T2- weighted fat suppress contrast enhanced image (Fig. 7) demonstrates an enhancement area in the posterior compartment of the thigh.
PATHOLOGY
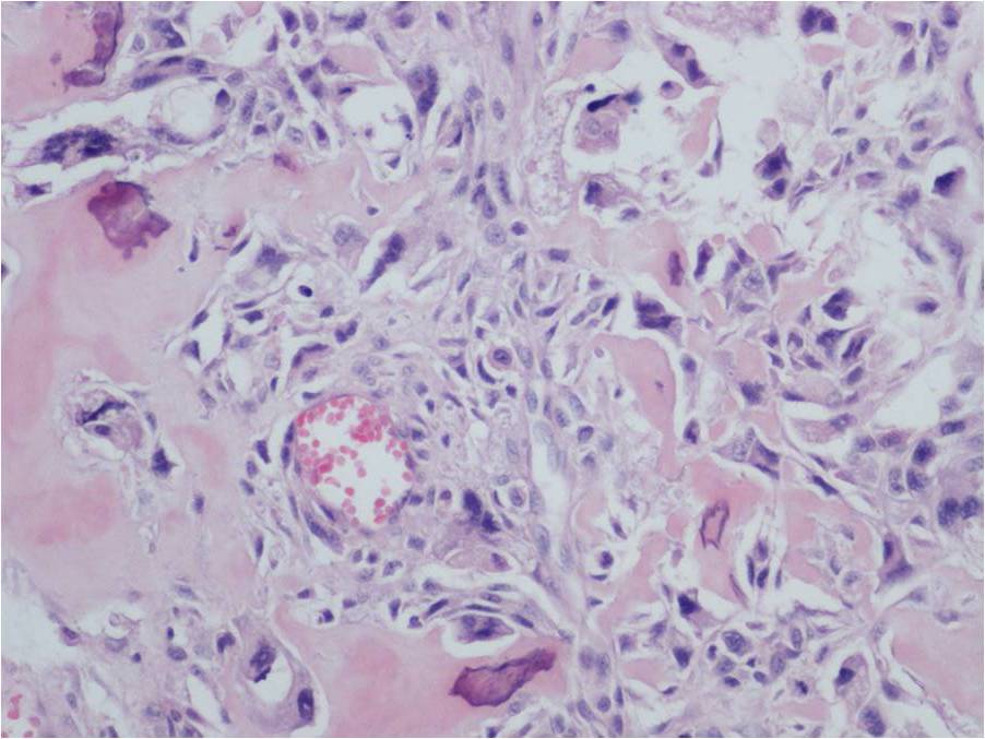
Extraskeletal osteosarcoma is generally a high-grade malignancy, similar to a high grade conventional intraosseous osteosarcoma. Microscopically, tumors usually have an infiltrative margin with occasional satellite nodules; however, on gross inspection they appear well defined. Tumor cells produce a variable amount of osteoid and bone (Fig. 8-10). Necrosis and hemorrhage are common. Five subtypes have been described similar to conventional osteosarcoma of bone: osteoblastic; chondroblastic; fibroblastic; telangiectatic; and small cell.



Fig. 8-10: Microscopic Pathology. Low (Fig. 8), intermediate (Fig. 9) and high (Fig. 10) power magnification H&E slides. Osteoid and bone formation produced by tumor cells, without interposition of cartilage. Tumor cells are crowded, disorganized, pleomorphic and darkly stained. There are mitotic figures.
PROGNOSIS
Overall survival is 65% at 5 years.
TREATMENT
Treatment is the same as conventional osteosarcoma, including; pre- and postoperative chemotherapy and surgical resection (Fig 11 -14). Amputation for unresectable tumors.




Fig. 11-14: Intraoperative photos show a radical resection of an extraskeletal Osteosarcoma. In this case, the superficial femoral artery was resected with the tumor as the tumor was encasing the neurovascular structures. They were reconstructed after the tumor resection (Fig. 14).